共有する

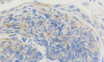
PD-L1 IHC 22C3 pharmDx「ダコ」を用いたPD-L1染色像

PD-L1 IHC 22C3 pharmDx「ダコ」を用いたPD-L1染色像

診断の手順

手順1

手順2 

診断のポイント1 – 腫瘍細胞と免疫関連細胞を区別する

PD-L1陽性細胞が腫瘍細胞か、マクロファージか?

PD-L1陽性細胞が腫瘍細胞か、免疫細胞か?

診断のポイント2 – 腫瘍細胞膜の部分または全周染色を決定する

PD-L1陽性の染色が細胞質と細胞膜の両方に見られる場合の判断は?

PD-L1陽性の染色が細胞膜全周か、部分的か?

診断のポイント3 – 陽性腫瘍領域と陰性腫瘍領域を決定し、発現率(TPS)を算出する

陽性例1

PD-L1陽性(TPS 1-49%)


陽性例2

PD-L1陽性(TPS 1-49%)

陽性例3

PD-L1陽性(TPS≧50%)

陽性例4

PD-L1陽性(TPS≧50%)

アーティファクト:Crush

【提供】国立がん研究センター中央病院 病理診断科 科長 谷田部 恭 先生

TPS診断セミナー ~難解症例を紐解く~

関連コンテンツ


キイトルーダ®・悪性腫瘍関連領域情報

関連製品