PD-L1 IHC 22C3 pharmDx「ダコ」を用いた染色像
PD-L1 IHC 22C3 pharmDx「ダコ」を用いた染色像
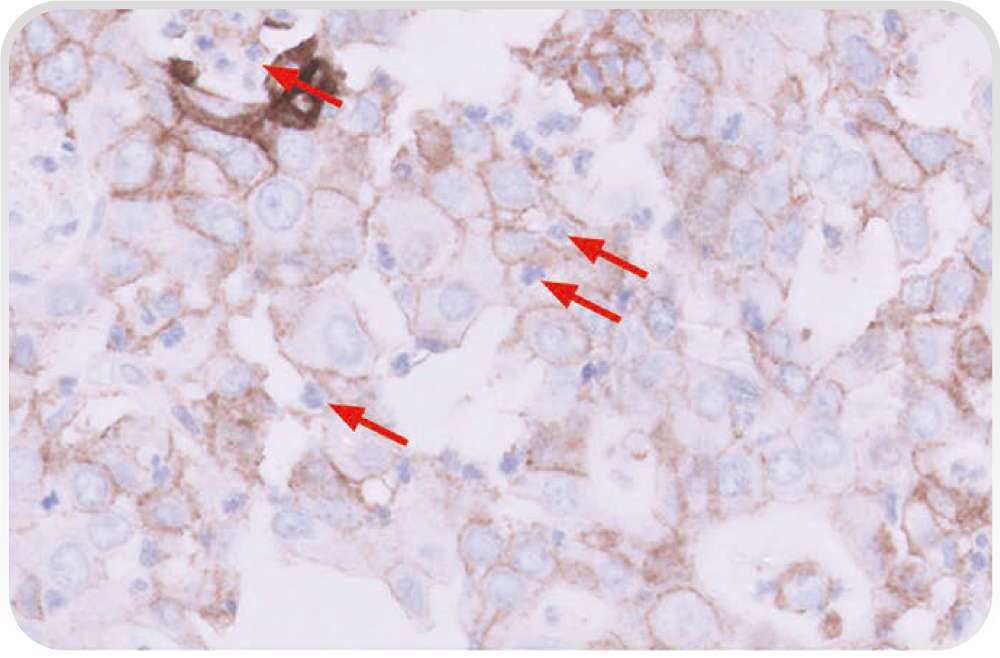
腫瘍細胞の陽性像1)
細胞膜染色
部分的な細胞膜染色
細胞膜染色および細胞質染色
顆粒状の染色
多核腫瘍細胞
免疫細胞の陽性像1)
腫瘍関連単核炎症細胞(MIC)
腫瘍細胞と免疫細胞の見分け方1)
腫瘍細胞のサイズ1)
CPSの計算式から除外される細胞1)
細胞質のみ染色された腫瘍細胞
良性細胞に関連するMIC
腺腫や上皮内腺癌
間質細胞(線維芽細胞を含む)
CPSの計算式から除外されるその他の免疫細胞
アーチファクト1)
非特異的染色
エッジアーチファクト
組織の挫滅
固定不良
壊死
ヘモジデリン
CPS実例集:CPS 01)
CPS 0
CPS実例集:CPS≧11)
CPS 2(CPS 1~5の可能性あり)
CPS 2(CPS 1~3の可能性あり)
CPS 2(CPS 1~4の可能性あり)
CPS 3(CPS 1~5の可能性あり)
CPS 4(CPS 2~5の可能性あり)
CPS 5(CPS 4~6の可能性あり)
CPS 5(CPS 4~6の可能性あり)
CPS 6(CPS 5~9の可能性あり)
CPS 7(CPS 6~9の可能性あり)
CPS 7(CPS 5~9の可能性あり)
CPS実例集:CPS≧101)
CPS 12(CPS 10~14の可能性あり)
CPS 12(CPS 10~15の可能性あり)
CPS 14(CPS 12~16の可能性あり)
CPS 15(CPS 12~18の可能性あり)
CPS 15(CPS 11~18の可能性あり)
CPS 17(CPS 15~19の可能性あり)
CPS 18(CPS 16~20の可能性あり)
CPS 35(CPS 30~40の可能性あり)
CPS 40(CPS 30~50の可能性あり)
CPS 50(CPS 40~60の可能性あり)
CPS 50(CPS 45~65の可能性あり)
CPS 65(CPS 55~75の可能性あり)
CPS 70(CPS 60~75の可能性あり)
CPS 75(CPS 65~80の可能性あり)
CPS 75(CPS 65~85の可能性あり)
CPS 75(CPS 70~85の可能性あり)
CPS 75(CPS 65~85の可能性あり)
CPS 95(CPS 85~98の可能性あり)
CPS 100
引用文献
1)PD-L1 IHC 22C3 pharmDx「ダコ」胃癌染色結果判定マニュアル
関連コンテンツ
解説動画
2025年5⽉、キイトルーダ®は、胃癌の1次治療において免疫チェックポイント阻害剤としては初めて、HER2陽性*・陰性に関わらず「治癒切除不能な進行・再発胃癌」 […]
解説動画
キイトルーダ®は2025年5月より、HER2陽性*・陰性に関わらず「治癒切除不能な進行・再発胃癌」患者の1次治療に対して投与が可能となりました。
本動画では、P […]
キイトルーダ®・悪性腫瘍関連領域情報
臨床成績
国際共同第Ⅲ相試験(KEYNOTE-689試験)
承認時評価資料:国際共同第Ⅲ相試験(KEYNOTE-689試験)
Uppaluri R, et al. N […]
関連製品