共有する

PD-L1検査の臨床的意義

「警告・禁忌」等その他の項目はこちらをご参照ください。

PD-L1検査の臨床的意義

はじめに

監修:
熊本大学病院 病理診断科 教授
三上 芳喜 先生

近年、分子標的治療薬や免疫チェックポイント阻害薬の登場、またがん遺伝子パネル検査の保険収載に伴い、治療の適否や効果予測に関わる病理診断の重要性はますます高まっています。

そのような状況下で、2022年9月にキイトルーダ®の「進行又は再発の子宮頸癌」に対する効能又は効果の追加が厚生労働省より承認されました。キイトルーダ®はT細胞機能を負に制御するPD-L1及びPD-L2のPD-1への結合を阻害する抗体であり、PD-L1を発現する癌細胞や炎症細胞が多い症例において抗腫瘍作用が期待されます。進行又は再発の子宮頸癌症例への適応は、「コンプリメンタリー診断薬※1」(PD-L1 IHC 22C3 pharmDx「ダコ」[Autostainer Link 48用])を用いた免疫組織化学染色標本のCombined Positive Score(CPS)によって判定されます。

CPSは、腫瘍細胞に加えて、腫瘍浸潤免疫細胞(リンパ球、マクロファージ)も評価対象として陽性細胞率を算出するスコアです。本邦では、2019年に頭頸部癌の治療方針を選択するために導入され、現在ではがん化学療法後に増悪した根治切除不能な進行・再発の食道扁平上皮癌、手術不能または再発のトリプルネガティブ乳癌、胃癌の治療方針の選択にも使用されています。肺癌において使用されている、腫瘍細胞のみを評価するTumor Proportion Score(TPS)とは異なることに注意が必要です。

使用承認の根拠となった国際共同第Ⅲ相試験(KEYNOTE-826試験)では、PD-L1陽性(CPS≧1、CPS≧10)の症例、およびPD-L1陰性(CPS<1)症例を含む全集団(化学療法未治療の手術又は放射線療法による根治治療の対象とならない進行又は再発の子宮頸癌患者)において、プラセボ併用群(プラセボ、化学療法±ベバシズマブ併用療法)を対照としたキイトルーダ®併用群(キイトルーダ®、化学療法±ベバシズマブ併用療法)の有効性を示す成績が得られた1,2)ことから、CPSの多寡にかかわらず使用可能となりました※2

以上のように、キイトルーダ®適応決定のためのPD-L1検査においては、CPSについて十分にご理解いただくことが非常に重要であると考え、本冊子ではCPSの計算方法や評価対象細胞の詳細についてページを割いて説明させていただいています。それと同時に、検体の取扱い(固定・包埋・薄切・染色など)についても精度管理が求められることを忘れてはなりません。本冊子が、多くの施設におけるPD-L1検査の標準化につながり、キイトルーダ®が進行又は再発の子宮頸癌の治療に寄与することを希望します。

IHC:Immunohistochemistry(免疫組織化学染色)

※1 コンプリメンタリー診断薬は、医薬品の有効性や安全性に対して参考になりますが、必須ではありません。
※2 詳細については、厚生労働省から発行されている『最適使用推進ガイドライン:ペムブロリズマブ(遺伝子組換え)子宮頸癌』をご参照ください。

1)承認時評価資料:国際共同第Ⅲ相試験(KEYNOTE-826試験)
2)Colombo N et al. N Engl J Med 2021; 385: 1856-1867
本試験はMSD社の資金提供により行われた。著者のうち、Sarper Toker、Kan Li、Stephen M Keefeは同社の社員である。

5. 効能又は効果に関連する注意(抜粋)
〈進行又は再発の子宮頸癌〉
5.28 本剤の有効性は、PD-L1発現率(CPS)により異なる傾向が示唆されている。CPSについて、「17.臨床成績」の項の内容を熟知し、本剤の有効性及び安全性を十分に理解した上で、適応患者の選択を行うこと。[17.1.31参照]
5.29 本剤の術後補助療法における有効性及び安全性は確立していない。

進行又は再発の子宮頸癌に関する「効能又は効果」、「用法及び用量」

効能又は効果(抜粋)

進行又は再発の子宮頸癌

効能又は効果に関連する注意(抜粋)

〈進行又は再発の子宮頸癌〉

5.28 本剤の有効性は、PD-L1発現率(CPS)により異なる傾向が示唆されている。CPSについて、「17. 臨床成績」の項の内容を熟知し、本剤の有効性及び安全性を十分に理解した上で、適応患者の選択を行うこと。[17.1.31参照]

5.29 本剤の術後補助療法における有効性及び安全性は確立していない。

用法及び用量(抜粋)

〈進行又は再発の子宮頸癌〉

他の抗悪性腫瘍剤との併用において、通常、成人には、ペムブロリズマブ(遺伝子組換え)として、1回200mgを3週間間隔又は1回400mgを6週間間隔で30分間かけて点滴静注する。

用法及び用量に関連する注意(抜粋)

〈進行又は再発の子宮頸癌〉

7.11 併用する他の抗悪性腫瘍剤は「17. 臨床成績」の項の内容を熟知し選択すること。[17.1.31 参照]

CPSの算出方法

PD-L1の発現状況の指標であるCPSは、PD-L1を発現しているがん細胞及びリンパ球やマクロファージといった免疫細胞をカウントし、その数をがん細胞の総数で除し100を乗じることで算出されます。CPSはTPSと異なり、浸潤癌巣で判定します。

CPSの算出方法

PD-L1検査の臨床的意義

PD-L1 IHC 22C3 pharmDx「ダコ」(ASL48用)によるPD-L1検査のタイミング3)

PD-L1検査は、「進行又は再発の子宮頸癌」の治療開始前に実施が考慮されます。

PD-L1 IHC 22C3 pharmDx「ダコ」(ASL48用)によるPD-L1検査のタイミング

*PD-L1 IHC 22C3 pharmDx「ダコ」(ASL48用)によるPD-L1検査

※:詳細については、厚生労働省から発行されている『最適使用推進ガイドライン:ペムブロリズマブ(遺伝子組換え)子宮頸癌』をご参照ください。

5. 効能又は効果に関連する注意(抜粋)
〈進行又は再発の子宮頸癌〉
5.28 本剤の有効性は、PD-L1発現率(CPS)により異なる傾向が示唆されている。CPSについて、「17.臨床成績」の項の内容を熟知し、本剤の有効性及び安全性を十分に理解した上で、適応患者の選択を行うこと。[17.1.31参照]

キイトルーダ®の治療対象の判定基準3)

キイトルーダ®+化学療法±ベバシズマブ併用療法は、CPSにかかわらず使用可能ですが国際共同第Ⅲ相試験(KEYNOTE-826試験)で用いられたカットオフ値(CPS<1、CPS≧1)に基づいて治療方針が検討される場合があります。

キイトルーダ®の治療対象の判定基準

※:詳細については、厚生労働省から発行されている『最適使用推進ガイドライン:ペムブロリズマブ(遺伝子組換え)子宮頸癌』をご参照ください。

KEYNOTE-826試験における進行又は再発の子宮頸癌患者のPD-L1発現状況(CPSの分布)1)

KEYNOTE-826試験における子宮頸癌患者のPD-L1発現状況(CPSの分布)

CPS(Combined Positive Score)の算出手順3)

CPSの算出には、以下に示す計算式を用います。
CPSはTPSと異なり、浸潤癌巣で判定します。

計算式4)

計算式

※:CPSの評価において、分子あるいは分母に組み入れる細胞あるいは除外する細胞の種類については、こちらをご参照ください。

CPS計算のイメージ
CPS計算のイメージ

参考:TPS(Tumor Proportion Score)の計算式

参考:TPS(Tumor Proportion Score)の計算式

Ⅳ期非小細胞肺癌におけるPD-L1検査では、TPSが指標として用いられており、腫瘍細胞のみが評価対象細胞となっています。

■子宮頸癌:国際共同臨床試験成績:国際共同第Ⅲ相試験
<KEYNOTE-826試験1,2)>の概要

詳細はこちら>

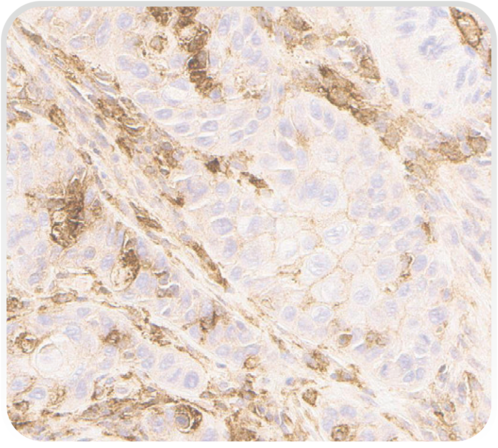
子宮頸癌におけるCPS評価においてPD-L1陽性細胞として加算すべき細胞

CPS計算式における分子および分母の組み入れ/除外基準3)

CPSの評価において、計算式の分子あるいは分母に組み入れる細胞あるいは除外する細胞の種類は以下の表に示す通りです。また、各種細胞におけるPD-L1の染色像については、こちらをご参照ください。

CPS計算式における分子および分母の組み入れ/除外基準

*1 MICでは、細胞質に対する細胞核の比率が高いため、多くの場合細胞膜染色と細胞質染色とは判別不能です。
 このため、MICの細胞膜または細胞質染色はスコアリングに含まれます。
*2 隣接するMICは腫瘍と同じ20倍視野内にあると定義されます。しかし、腫瘍に対する反応に直接関連しないMICは除外されます。
*3 マクロファージと組織球は同じ細胞と考えられます。

CPS計算式における分子および分母の組み入れ/除外基準-img1

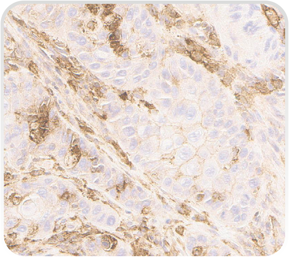
PD-L1陽性細胞の同定方法

PD-L1陽性細胞の同定方法

①弱拡大像にて切片全体を検鏡し、発色領域の有無を判断する。
弱拡大像にて切片全体を検鏡し、発色領域の有無を判断する。

※食道癌検体の画像

注意点
  • 弱拡大において、形態が良好に保たれている腫瘍部分をすべて観察し、PD-L1陽性あるいは陰性であるかについて腫瘍細胞を全体的に評価する。
  • 弱拡大では、細胞膜の部分的な陽性像や弱陽性像が認識しづらいことに留意すべきである。
  • 組織検体中に少なくとも100個以上の腫瘍細胞があることを確認する(腫瘍細胞が100個未満の場合には、深切り切片を作製する、あるいは、別のブロックから切片を用意して染色することで、評価可能な腫瘍細胞数が得られる可能性がある)。
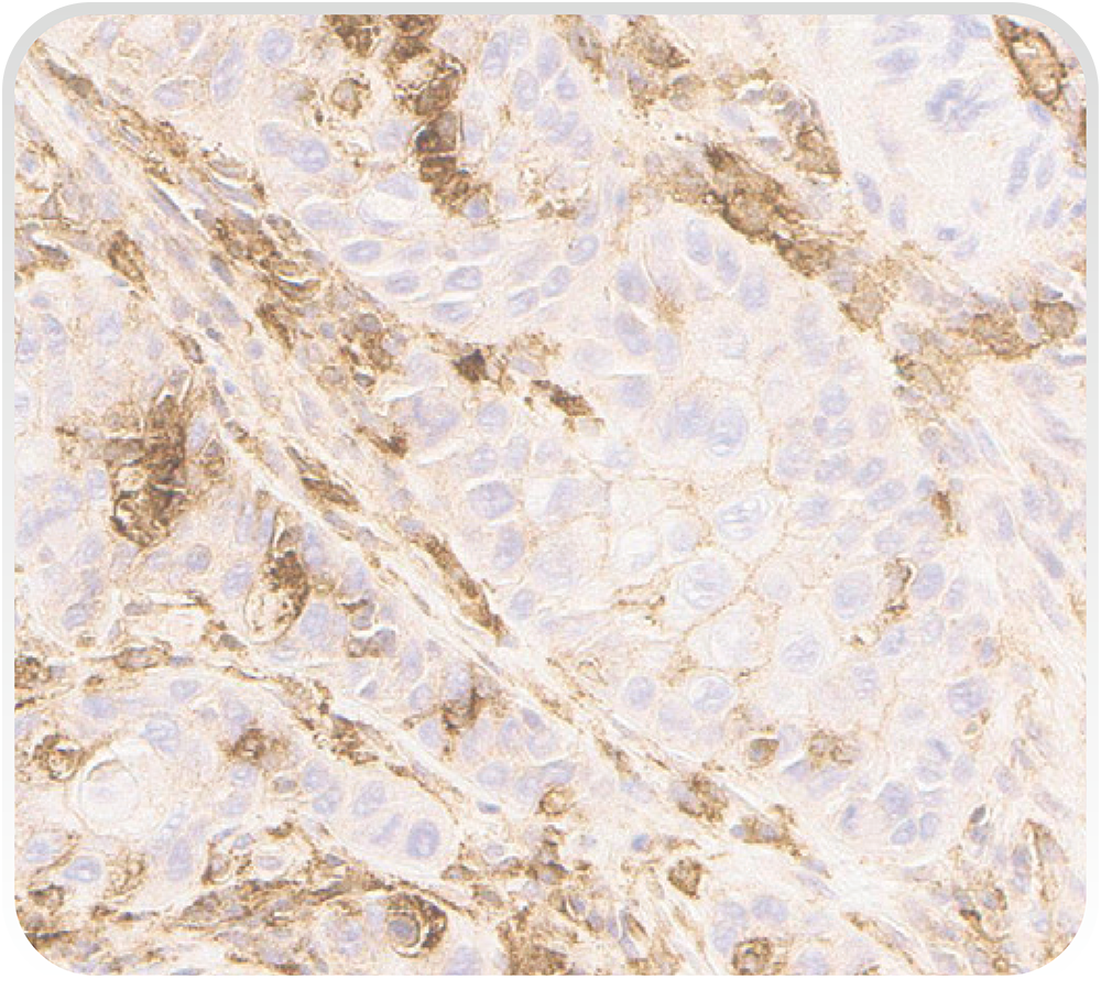
②発色領域を20×の対物レンズを用いて拡大し、陽性細胞と陰性細胞を、腫瘍細胞と免疫細胞それぞれについて同定し、その数を記録する。
発色領域を20×の対物レンズを用いて拡大し、陽性細胞と陰性細胞を、腫瘍細胞と免疫細胞それぞれについて同定し、その数を記録する。

※食道癌検体の画像

注意点
  • 強拡大(対物レンズ20×)でPD-L1発現状況を評価し、CPSを算出する。
  • 細胞膜の染色性の評価は、20×以下の倍率で実施する(CPSの算出を40×の倍率で実施することは推奨されない)。

CPS算出の判定例

CPSの判定例(イメージ)3)

1 陽性細胞の分布が限局しているパターン
陽性細胞の分布が限局しているパターン

①染色陽性細胞が認められる領域におけるCPSを算出する。

陽性細胞の分布が限局しているパターン-img1

※:腫瘍細胞、リンパ球、マクロファージを含む

②陽性細胞が認められる領域のCPSを、その領域が腫瘍細胞全体の1/10である場合は10で除する。

陽性細胞の分布が限局しているパターン-img2
2 陽性細胞が不均一に分布しているパターン
陽性細胞が不均一に分布しているパターン

①陽性細胞数が等しくなるように腫瘍領域を複数の領域に分け、各領域におけるCPSを算出する。

陽性細胞が不均一に分布しているパターン-img1

②分けた領域数を考慮してCPSを算出する(本例は4領域に分けられている)。

陽性細胞が不均一に分布しているパターン-img2
3 陽性細胞が少ないものの、標本全体に均一に散在しているパターン
陽性細胞が少ないものの、標本全体に均一に散在しているパターン

①染色陽性細胞がないように見える領域に、染色陽性細胞が間違いなくないことを適宜拡大して注意深く確認する。
②すべての染色領域を評価し、PD-L1陽性細胞数を数える。
③染色領域、非染色領域を再び評価し、総腫瘍細胞(PD-L1陽性細胞および陰性細胞)数を数え、CPSを算出する。

陽性細胞が少ないものの、標本全体に均一に散在しているパターン-img1

※:腫瘍細胞、リンパ球、マクロファージを含む

引用文献

1)承認時評価資料:国際共同第Ⅲ相試験(KEYNOTE-826試験)
2)Colombo N et al. N Engl J Med 2021; 385: 1856-1867
  本試験はMSD社の資金提供により行われた。著者のうち、Sarper Toker、Kan Li、Stephen M Keefeは同社の社員である。
3)PD-L1 IHC 22C3 pharmDx「ダコ」子宮頸癌染色結果判定マニュアル
4)PD-L1 IHC 22C3 pharmDx「ダコ」(Code No. SK006)電子添文

関連コンテンツ


キイトルーダ®・悪性腫瘍関連領域情報

臨床成績

KEYNOTE-689試験

国際共同第Ⅲ相試験(KEYNOTE-689試験) 承認時評価資料:国際共同第Ⅲ相試験(KEYNOTE-689試験) Uppaluri R, et al. N […]

関連製品